Skip to content
SCHEDULE APPOINTMENT
Home
About
Meet the Doctors
Meet Our Team
Dental FAQ’s
Patient Testimonials
Services
Cosmetic Dentistry
Holistic Dentistry
General Dentistry
TMJ Treatment
Dental Implants
Sleep Apnea
View All Services
Store
For Patients
Financing
Dental Plans
Online Bill Pay
New Patient Forms
Patient Education
Patient Profiles
Smile Gallery
Contact
Hours & Location
(614) 848-5001
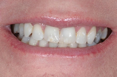
Veronica
Veronica
Smile Makeover
Veronica got veneers to restore her smile.
Veronica
Before
After
Previous
Next
Share This Story!
Facebook
X
Email
Page load link
Go to Top