Debra G.

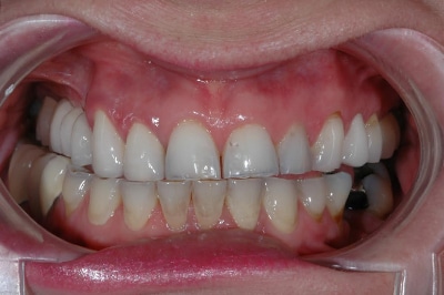
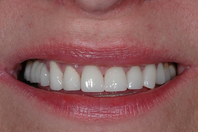
Debra had worn, discolored teeth that were restored using porcelain veneers and dental crowns, lengthening and brightening her smile.

Before

Full Face Before Treatment
Close Up Before Treatment

After

Full Face After Treatment
Close Up After Treatment