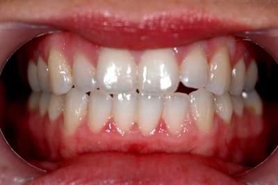
Cheryl C.

Cheryl got TMJ treatment for her headaches. She received crowns and veneers to stabilize her bite and restore the beauty of her smile.

Before

Full Face Before Treatment
Close Up Before Treatment

After

Full Face After Treatment
Close Up After Treatment